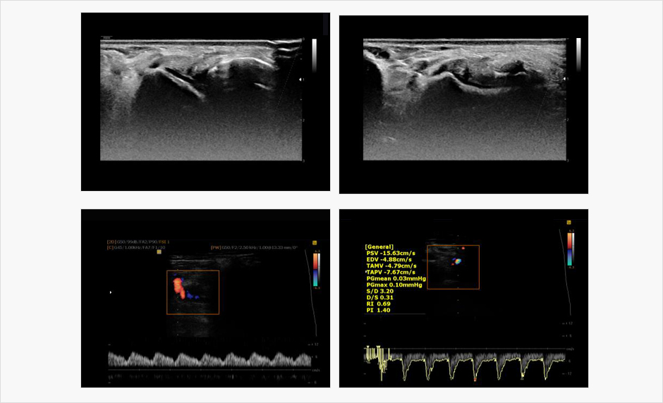
발검사 및 치료
본원은 발이 불편하신 분들의 정확한
진단과 치료를 제공합니다.
본원에서는 보다 나은 진단을 위해
초음파 장비를 보유하고 있습니다.
본원은 인체에 무해한 초음파 검사를 통해 엑스레이 검사에서는
확인하기 어려운 인대 및 근육 손상과 염증 등의 병변을 확인하여
족부 질환 진단에 이용하고 있습니다.
초음파검사 치료사진


